ホーム > 健康・福祉 > 疾病予防・健康づくり > 健康づくり > 歯の健康 > 歯科口腔保健に関する情報 > ライフステージの取組 > 歯と口の健康 ~High school teeth!!~ (高校生編)
更新日:2021年1月29日
ここから本文です。
高校を卒業するまでは,毎年,学校で歯科医師による学校歯科健診がありますが,卒業後は健診を受ける機会が少なくなります。これからは,自分自身で考えて意思決定し,自立した生活習慣を身につけることが大切です。高校生活のなかで,自分の歯や口腔の健康に関心を高め,健康を維持していくことは,これからの人生におけるお口の健康づくりの基盤となります。


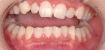
健康な歯ぐきと歯肉炎の状況


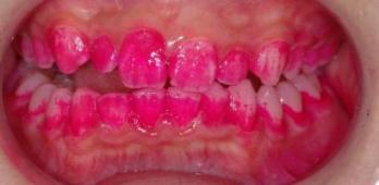
歯垢染色の状況(染色前と染色後)




県内の高校1年生の歯科健診結果です。
約3割の生徒が,歯肉に炎症が認められます。



競技能力を向上(パフォーマンスを高めるために)(PDF:78KB)


曽於高校で取り組んだ健康食レストランのメニュー(PDF:488KB)

関連リンク
よくあるご質問
このページに関するお問い合わせ
より良いウェブサイトにするためにみなさまのご意見をお聞かせください